"Случайная находка": житель Саратова узнал о зеркальном расположении всех органов во время КТ
- 7 августа 2025
- Григорий Овчинников

Зеркальный мир внутри человека
У жителя Саратовской области обнаружено редкое анатомическое явление - зеркальное расположение внутренних органов. Об этом необычном случае рассказали в Балаковской городской клинической больнице.
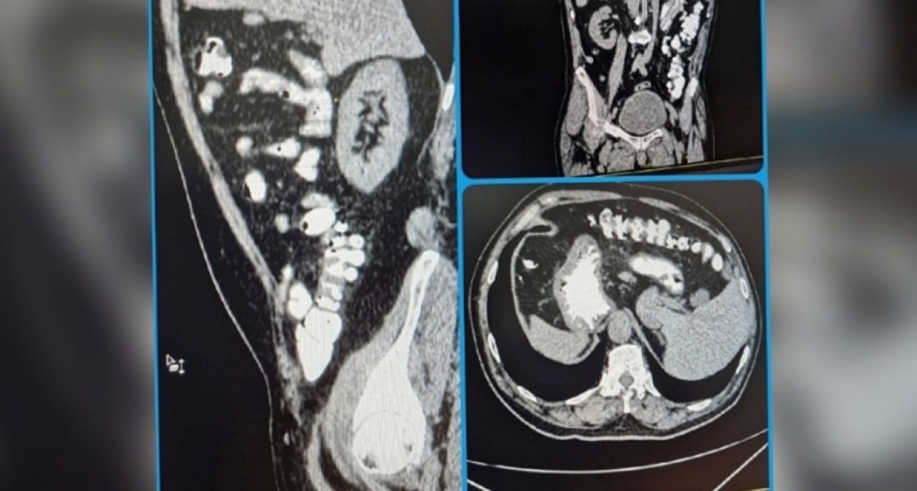
Данная особенность была выявлена случайно, во время компьютерной томографии брюшной полости и забрюшинного пространства.
Во время процедуры был выявлен вариант анатомической нормы, когда все органы пациента располагаются зеркально: печень - слева, сердце - справа, имеется зеркальное отображение аорты и лёгких. Подобная анатомическая аномалия встречается крайне редко и является признаком "случайной находки" при обследовании. Пациент не знал о наличии у него таких интересных изменений. Отмечена полная транспозиция органов. На самочувствии пациента это никак не отражается, ни на что не влияет.
Сообщается со ссылкой на Версия Саратов, что это состояние не влияет на самочувствие человека и не вызывает никаких проблем со здоровьем.
Ранее мы писали, что 20 июля несколько дней назад в медицинское учреждение обратились родители девочки-подростка, которая испытывала боли в нижней части живота. Ей потребовалось хирургическое вмешательство из-за редкой патологии: атрезии влагалища и парауретральной кисты. Операция прошла успешно, пациентка выписана из стационара, и ее репродуктивная функция полностью сохранена.